胆管积气的治疗方法

昨天一位74岁的老奶奶因为反复腹痛4天伴恶心、呕吐2天被送到了急诊室。老人因为无法正常进食,身体非常虚弱,虽然上腹痛很剧烈,但是查体时压痛并不明显,按压胆囊的位置也没有明确压痛。 老...

昨天一位74岁的老奶奶因为反复腹痛4天伴恶心、呕吐2天被送到了急诊室。老人因为无法正常进食,身体非常虚弱,虽然上腹痛很剧烈,但是查体时压痛并不明显,按压胆囊的位置也没有明确压痛。

一块石头引发的住院

老奶奶因腹痛伴恶心呕吐来急诊看病

追问病史后得知,患者有4年以上的胆结石病史,1年前曾经发作急性胆囊炎并住院消炎治疗。

一块石头引发的住院

4年前发现胆囊结石的照片

我们赶紧给患者安排了急诊腹部CT,从图片看肝内胆管存在多发积气,胆囊结石的位置与十二指肠关系密切,怀疑结石压穿了胆囊和十二指肠壁形成了内瘘。

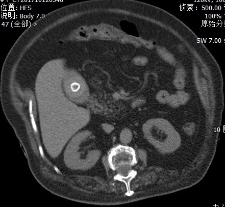
一块石头引发的住院

急诊CT发现肝内胆管积气

急诊胃镜检查证实,有一块3cm大小的石头嵌顿在了十二指肠球部导致肠腔堵塞。由于老人存在严重心肺功能不全,不能耐受麻醉和腹部手术,我们决定进行胃镜下碎石治疗。在泌尿外科医生的帮助下,我们应用钬激光成功将结石爆破为多个小的碎块,应用网篮将大的碎块经口取出。

一块石头引发的住院

胃镜证实胆囊结石阻塞十二指肠

手术后十二指肠的梗阻解除了,患者在12小时后恢复了经口进食,观察2天未见特殊不适,患者顺利康复出院。

一块石头引发的住院

钬激光碎石+网篮取石后十二指肠恢复通畅

临床建议

胆囊结石是常见病、多发病,有胆绞痛或急性胆囊炎发作的患者肯定是建议手术切除胆囊的。

无症状的患者一般不需特殊处理,但是当结石达到3cm左右时,应尽早手术切除胆囊,以免造成类似上述老奶奶胆石性肠梗阻的情况。

另外,无症状胆结石患者,如果胆囊结石充满胆囊、胆囊壁厚度超过4mm、胆囊壁存在壁间结石或者合并直径超过5mm的胆囊息肉也应考虑手术治疗。

最后,结石病史超过10年的65岁以上的老年女性患者也应尽早手术切除胆囊。

  • 发表于 2022-03-14 11:40:20
  • 阅读 ( 234 )
  • 分类:科技

0 条评论

请先 登录 后评论
就问小助手
就问小助手

21851 篇文章

你可能感兴趣的文章

相关问题